
Screening Can Detect Lung Cancer Early. Here’s Who Should Be Screened.
A lung cancer screening recommended for those at high risk is helping to detect cancer at its earlier stages and increasing survival rates.
If you are a current or former smoker, you’re at risk for lung cancer. If doctors find the disease early, when the tumor is located only in the lungs, up to 75 percent of people survive five years or more. Many of these patients are cured.
In recognition of this day, Henry Ford is expanding access to those who are unable to schedule during the week. Take advantage of this convenient Saturday clinic.
Participating locations include: Detroit, Grand Blanc, Chesterfield, Jackson, New Baltimore, Novi, Southfield, Warren, West Bloomfield and Wyandotte.
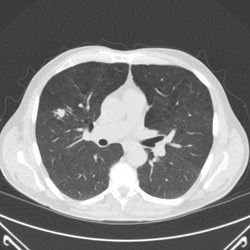
The gold standard for identifying lung cancer early uses computed tomography (CT) scans. Henry Ford Health was part of a national study that found CT lung screening reduced the chance of dying from lung cancer by 20 percent, compared with chest X-ray screening.
We work with you and your doctor to see if early-detection screening makes sense for you. Not all current or former smokers need a CT scan to screen for lung cancer. We recommend CT scans for people who:
Henry Ford's specialized Lung Cancer Screening Clinic screens people to identify potential lung cancer as early as possible.
The clinic brings patients together with pulmonologists, nurse practitioners, nurses and smoking cessation counselors. We work together with radiologists, oncologists, surgeons and other cancer specialists to help you manage your health condition and achieve your health goals.
Not everyone needs to be screened for lung cancer. Find out if you're at risk and need to schedule a screening.
Meet the criteria?
Contact our team, and we’ll schedule an appointment for you.
We offer a comprehensive screening process, centered on your needs. Generally, it involves:
The CT scan is quick and painless. It uses a combination of X-rays and computer technology to create detailed images. You don’t have to worry about receiving too much radiation during screening. Our low-dose CT scan technology means you’ll experience about a quarter of the radiation emitted by standard CT scans.
As a former smoker and having witnessed her father suffer from lung cancer, Sherry took the advice of her primary care physician and scheduled a lung cancer screening.
Lung cancer can be revealed by a low-dose computed tomography (LDCT) screening.
The No. 1 way to reduce your risk for lung cancer is not to smoke tobacco. If you already use tobacco, you can lower your lung cancer risk if you quit smoking.
Ready to quit? Our tobacco treatment services can start you on the journey to a tobacco-free life.
If you have questions about eligibility or want to learn more, call us at (313) 916-1275 or contact our team.
A lung cancer screening recommended for those at high risk is helping to detect cancer at its earlier stages and increasing survival rates.
For some lung cancer patients, removing part of the lung is necessary to get rid of a tumor and improve chances of a cure. Here's what to know about this procedure.
With a wider definition of who is considered high risk for lung cancer, the disease could be caught at an earlier stage--and lead to an increase in survival.
Lung cancer patients don’t always get the same support and sympathy shown to other cancer patients — but they still face similar struggles. Here’s how you can help address the stigma surrounding the deadliest form of cancer.
We use cookies to improve your website experience. By using this site, you agree to our Terms of Use. Read our Internet Privacy Statement to learn what information we collect and how we use it.